Compartir artículo:![]()
Es la etapa recomendada para saber qué mujer tiene más riesgo de presentar durante su embarazo:
Un bebé con la posibilidad de ser portador de una cromosomopatía o trisomía, de las cuales la más conocida es el Síndrome de Down, sin embargo, hay otras de consecuencias más graves que también es muy importante detectar.
Mayor riesgo de desarrollar pre eclampsia, sobre todo la temprana que se manifiesta antes de la semana 34 y que es la de mayor gravedad.
Mayor riesgo de parto pre término, es decir, la posibilidad de que tu bebé nazca antes de la semana 37 de gestación.
Mayor riesgo de restricción del crecimiento intrauterino: es decir, la posibilidad de que tu bebé deje de tener el peso y el crecimiento esperado para las semanas de embarazo en la que se evalúa, en otras palabras, que deje de crecer de acuerdo a lo esperado y que esa condición pueda poner en riesgo su vida.
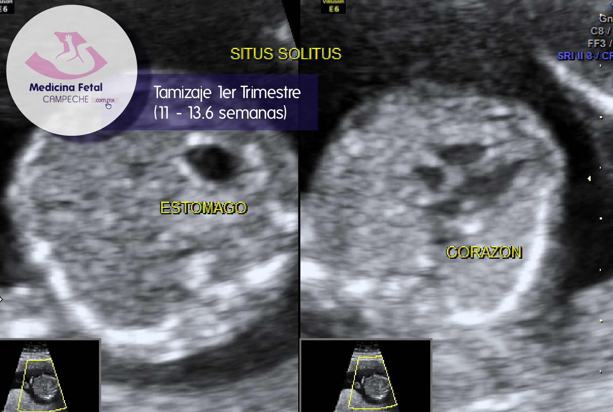
Nos permite además detectar hasta un 80% de anormalidades o malformaciones en los bebés, y de esta manera también emitir un pronóstico sobre la probable evolución del embarazo, y a los padres tomar una decisión sobre el curso de este.
Nos permite además saber cual es la edad exacta de tu embarazo, ya que en estas semanas el ultrasonido tiene su mayor utilidad para tal fin.
Te ofrecemos dos opciones:
El más recomendado es el tamizaje combinado: en el que utilizamos marcadores obtenidos por ultrasonido y marcadores bioquímicos (en sangre); es el estudio que nos da la más alta taza de detección de trisomías y preeclampsia.
El tamizaje ultrasonográfico: en el que sólo utilizamos marcadores obtenidos por ultrasonido; en este estudio la taza de detección es menor que con el combinado.
Utilizamos estándares y normas internacionales para darte una mayor certeza diagnostica y, el cálculo de riesgo lo realizamos mediante el algoritmo diseñado por la Fetal Medicine Foundation de Londres Inglaterra, organismo rector a nivel mundial en el tamizaje del primer trimestre del embarazo. Somos médicos certificados por este instituto, requisito indispensable para poder tener el acceso al Software correspondiente.
* Aceptamos tarjetas Visa y Mastercard

Carretera Lerma-Champotón, Km. 1, C.P. 25400
Consultorio 205, Country Club Campeche
Citas: 981-818-1699 E.5211 / E.5220
Whatsapp: 981-124-2195
Correo: medicinafetalcampeche@gmail.com
Últimos tweets
Mis tweets
Blog
Si estás embarazada, ¿se puede viajar?
Leer artículo
Náuseas y vómitos en el embarazo, ¿Señal de un embarazo saludable?
Leer artículo
¿Afecta el consumo de cafeína al embarazo?
Leer artículo